Nowe AI potrafi analizować RTG, ale lekarze na razie mogą spać spokojnie
Naukowcy z Finlandii znaleźli zupełnie nowe medyczne zastosowanie dla sztucznej inteligencji. Opracowali algorytmy AI do wykrywania choroby zwyrodnieniowej stawu kolanowego na podstawie zdjęć rentgenowskich.

Sztuczna inteligencja znajduje coraz więcej zastosowań na polu medycznym. Naukowcy pracują nad wyspecjalizowanymi algorytmami umożliwiającymi wcześniejsze wykrywanie różnego rodzaju chorób, co znacznie zwiększyłoby szansę pacjentów na wyleczenie.
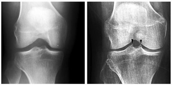
Nad takim zastosowaniem AI pochylają się m.in. badacze z Uniwersytetu w Jyväskylä i Okręgu Opieki Zdrowotnej Centralnej Finlandii. Opracowana przez nich sieć neuronowa jest w stanie wykrywać wczesne stadium choroby zwyrodnieniowej stawu kolanowego, wykorzystując w tym celu zdjęcia rentgenowskie. Jest to bardzo powszechne schorzenie, na które cierpi mnóstwo osób.
Algorytm sztucznej inteligencji przeszkolono w wykrywaniu cech radiologicznych, które mogą przewidzieć chorobę zwyrodnieniową na podstawie prześwietlenia. Chodzi o stwierdzenie, czy guzki piszczelowe w stawie kolanowym są kolczaste czy nie, gdyż może to oznaczać początek rozwoju choroby stawów. Doświadczeni lekarze potrafią to ocenić na podstawie zdjęcia rentgenowskiego, ale dzięki sztucznej inteligencji dałoby się dokonać analizy automatycznie, co pozwoliłoby znacznie przyspieszyć diagnostykę.
Do opracowania algorytmu wykorzystano około 700 zdjęć rentgenowskich, a następnie jego skuteczność zweryfikowano na podstawie 200 kolejnych prześwietleń. Modelowi udało się uzyskać skuteczność na poziomie 87%, co stanowi bardzo obiecujący wynik. Na razie jest jednak zbyt niski, aby technologię można było wykorzystać do powszechnego diagnozowania pacjentów.
Sztuczna inteligencja pomaga lekarzom
Algorytm ten, opracowany w Digital Health Intelligence Lab w ramach projektu AI Hub Central Finland, wymaga więc jeszcze wiele pracy, która pozwoli podnieść jego efektywność. Gdy będzie odpowiednio większa, technologia może stać się niezwykle pomocna dla lekarzy.

Wczesna diagnoza może uchronić pacjenta przed niepotrzebnymi i kosztownymi badaniami oraz zabiegami takimi jak rezonans magnetyczny. Ponadto może pomóc zmotywować go do podjęcia działań, które spowolnią lub nawet zatrzymają rozwój choroby. Niewykluczone, że w ten sposób uniknie operacji wymiany stawu kolanowego.
Wykorzystanie AI w zastosowaniach medycznych pomoże w niedalekiej przyszłości znacznie usprawnić opiekę nad pacjentem. Pozwoli szybciej i dokładniej diagnozować, co znacznie zwiększy jego szansę na pełny powrót do zdrowia.
Komentarze czytelników
Rumcykcyk Legend

Żebyśmy się nie doczekali takich lekarzy jak w filmie "Elizjum".