
problem z diagnoza
macie moze jakis pomysl co jest nie tak na tym zdjeciu? --->
O Wielki Ozyrysie do czego to doszlo, by pytac sie o cos takiego anonimowych ludzi zamiast swojego lekarza.
toaster <--- przeciez to nie moja glowa :D staram sie tylko zdobyc bonusowe punkty w kole neurochirurgii ale jestem dopeiro na I roku i nie zaczelismy jeszcze w ogole przerabiac osrodkowego ukladu nerwowego ^^
10/10, umarłem.
Jajowód obwinął się wokół macicy.
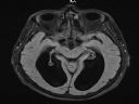
Widzę dwie czarne (puste?) przestrzenie na obu półkulach.

To toczeń.
spoiler start
10/10
spoiler stop

Jak dla mnie to x-ray nieślubnego dziecka Rafikiego i Skazy. Niby dwóch facetów, ale nigdy nie dało Wam do myślenia to, że ten pierwszy się maluje?